Classificare l’occlusione: Consigli per l’esame di Board da StudentRDH.com
ByClaire Jeong, BS, MS, RDH, e Delphine Jeong, DMD
L’occlusione è definita come la relazione di contatto dei denti mascellari e mandibolari quando la bocca è completamente chiusa. L’occlusione è importante perché può influenzare il profilo facciale di una persona e anche la salute del cavo orale. Le occlusioni che non sono ideali possono essere migliorate con trattamenti dentali come l’ortodonzia. In questo articolo, esamineremo alcuni dei concetti fondamentali che i professionisti dentali devono conoscere quando classificano l’occlusione.
Comprendere perfettamente questi concetti non solo vi aiuterà a fare più punti negli esami di igiene dentale, ma vi renderà anche un clinico stellare con cui tutti vorrebbero lavorare!
Overjet e Overbite1
Se si guarda il cranio umano, la mascella è più grande della mandibola. Questa anatomia rende l’arco mascellare più grande dell’arco mandibolare e a sua volta crea un overjet/overbite naturale che discuteremo in questa sezione.
Overjet: In termini professionali, è la sovrapposizione orizzontale degli incisivi centrali mascellari sugli incisivi centrali mandibolari. In termini semplici, è quanto i denti anteriori superiori sporgono in avanti rispetto ai denti anteriori inferiori. La quantità di overjet viene misurata usando la sonda orizzontalmente. L’overjet normale è considerato di 2-3 mm. Ecco un consiglio per aiutarvi a ricordare l’overjet: i jet volano in orizzontale.
Overbite: In termini professionali, è la sovrapposizione verticale degli incisivi centrali mascellari sugli incisivi centrali mandibolari. In termini semplici, è quanto i denti anteriori superiori coprono i denti anteriori inferiori in una dimensione verticale. La quantità di overbite viene misurata usando la sonda in verticale. L’overbite normale è considerato di 2-3 mm, o circa il 20-30% dell’altezza degli incisivi mandibolari.

A volte, i denti mascellari NON si sovrappongono agli incisivi mandibolari in una dimensione verticale o orizzontale. Il rapporto bordo a bordo (fine a fine) (i denti anteriori superiori e inferiori si incontrano in linea retta, nessun overjet, nessun overbite) e il morso aperto (nessun overbite, spesso associato alla spinta della lingua) rientrano in questi casi.
Le classificazioni di Angle dell’occlusione2
All’inizio del 1900, Edward H. Angle classificò le occlusioni usando il rapporto tra i primi molari di entrambe le arcate come fattore chiave per determinare le occlusioni. Le tre classi secondo la classificazione di Angle sono le seguenti:
- Occlusione normale: La cuspide mesiobuccale del primo molare superiore occlude con il solco buccale del primo molare inferiore.
- Malocclusione di I classe: Come l’occlusione normale ma caratterizzata da affollamento, rotazioni e altre irregolarità di posizione.
- Malocclusione di classe II: La cuspide mesiobuccale del primo molare superiore si occlude anteriormente al solco buccale del primo molare inferiore. Ci sono due sottotipi di malocclusione di Classe II.
- Classe II, divisione 1: Gli incisivi superiori sono inclinati verso l’esterno, creando un significativo overjet.
- Classe II, divisione 2: Gli incisivi superiori sono inclinati labialmente.
- Malocclusione di Classe III: La cuspide mesiobuccale del primo molare superiore si occlude posteriormente al solco buccale del primo molare inferiore.
Immagini ricreate di pezzi di puzzle sono usate sotto per illustrare le relazioni tra i primi molari. Immaginate che la parte sporgente del pezzo superiore del puzzle (che rappresenta la cuspide mesiobuccale del primo molare superiore) si inserisca nella rientranza del pezzo inferiore (che rappresenta il solco buccale del primo molare inferiore). Ora spostate il pezzo superiore “in avanti” per creare una malocclusione di II classe o spostatelo “indietro” per creare una malocclusione di III classe.

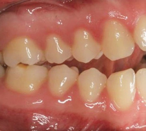
Rivedere l’esempio qui sotto.
Q: Secondo le classificazioni dell’occlusione di Angle, il paziente ha:
A. Occlusione normale
B. Malocclusione di I classe
C. Malocclusione di classe II
D. Malocclusione di classe III
Risposta: C. Malocclusione di II classe
Per risolvere la domanda, per prima cosa identificare la cuspide mesiobuccale del primo molare mascellare e vedere se si adatta al solco mesiobuccale del primo molare mandibolare. In questo caso, la cuspide mesiobuccale del primo molare mascellare è “anteriore” al solco del primo molare mandibolare. Pertanto, possiamo concludere che il paziente ha una malocclusione di II classe. La malocclusione di classe II può essere ulteriormente divisa in Divisione 1 o Divisione 2, ma questo non può essere determinato poiché i denti anteriori non sono presentati nel caso.
Ora che abbiamo imparato i concetti di base relativi all’occlusione, prendetevi il tempo per padroneggiarli. Sono informazioni fondamentali estremamente importanti e saranno probabilmente enfatizzate negli esami di igiene dentale.
Claire Jeong, BS, MS, RDH, è la fondatrice di StudentRDH, una soluzione di revisione per gli esami del National Dental Hygiene Board Exams e Dental Hygiene Local Anesthesia Exams. Si è laureata alla MCPHS University, Forsyth School of Dental Hygiene; è stata delegata come studente per l’ADHA ed è membro della Sigma Phi Alpha, la società d’onore dell’igiene dentale. Claire è impegnata a migliorare la formazione in igiene dentale e ad aiutare gli studenti di tutto il paese a superare gli esami di abilitazione. Claire è abilitata negli Stati Uniti e in Canada. Fornisce assistenza personalizzata a StudentRDH e può essere contattata all’indirizzo [email protected].
Delphine Jeong, DMD, è la co-fondatrice di StudentRDH, una soluzione di revisione per gli esami del National Dental Hygiene Board. Ha ricevuto il suo dottorato alla Boston University Goldman School of Dental Medicine e la sua laurea alla Purdue University. Ha una grande passione per la salute della comunità e l’alfabetizzazione culturale. La dottoressa Jeong è abilitata negli Stati Uniti e in Canada.